Articole despre investigatii post COVID

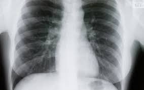
Ai avut COVID și crezi că ai trecut cu bine peste boală? Medicii avertizează: trebuie făcute două investigații după vindecare

Ai avut COVID și crezi că ai trecut cu bine peste boală?  Medicii avertizează: trebuie făcute două investigații după vindecare
Maintained by Burzcast and Burzcast Software .